RADIAL HEAD FRACTURES
Tid Bits of Info
- Up to 20% of all elbow injuries are fractures of the radial head.
- Radial head fractures occur in women more than men.
- Most common cause of this fracture is falling on an out-stretched, pronated arm.
- Most common symptoms of a radial head fracture are: pain, swelling, difficulty bending and twisting the forearm.
- Radial head fractures and all elbow injuries can require extensive physical therapy rehabilitation.
People slip and fall every day. It seems natural to put out an arm to break the fall, but this often results an elbow injury and possibly a radial head fracture. Symptoms include a swollen elbow joint, difficulty in bending or straightening the elbow, pain, or difficulty turning forearm palm up or palm down. 20% of all elbow injuries are radial head fractures. Physical Therapy can help patients regain full use of injured elbows.
What are Radial Head Fractures?
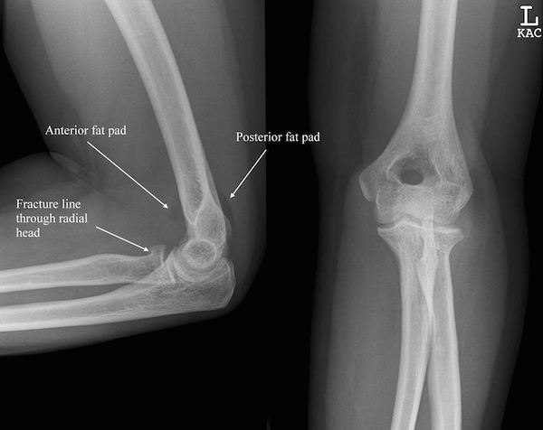
The elbow joint is made up of three bones, the humerus, ulna, and radius. The Radius is positioned laterally in the forearm and lies next to the Ulna. When the elbow is flexed the proximal part of the radius or head articulates with a rounded projection of the humerus or the capitulum. The elbow joint is involved with the twisting motions of the forearm (supination/pronation) via the motion of the radial head. As the forearm rotates, the radial head twists it is “held in place” by the annular ligament. A radial head fracture site can limit elbow function or depending on severity lead to complete non-functionality.
Classifications for Radial Head Fractures
Healthcare professionals classify radial head fractures in one of the following groups:
- Type I: minimally displaced fracture with no mechanical block to rotation
- Type II: Displaced fracture with angulation that is > 2mm with possible mechanical block
- Type III: Comminuted (in pieces) and displaced with mechanical block to motion
- Type IV: Radial head fracture with an elbow dislocation
The severity of the fracture determines the course of treatment. Type I fractures will be treated conservatively with a period of rest and limited use, but there is no reason to stop using the arm providing the patient can tolerate the pain and discomfort. If the fracture is severe and there is too much angulation, large pieces of bone that are not aligned properly or if the soft tissue is damaged the treatment choice is to have surgery to correctly align all of the pieces.
Restoring Elbow Use after Radial Head Fractures
Regardless of the severity of the injury, Physical therapy for a radial head fracture can begin immediately after injury. Loss of function in the elbow joint is usually not due to the fractured bone but to the soft tissue damage that occurs at the same time. Physical Therapists focus on reducing swelling and pain and restoring function.
In the beginning, the patient will have a difficult time gaining motion, and the Physical Therapist can aid this effort by performing specific mobilization techniques. The patient will begin to perform therapeutic exercises on day one. The motion of the entire arm will be addressed in the physical therapy treatment sessions. The patient will begin a series of exercises that will enhance movement throughout the involved limb. Modalities will be used to reduce pain and stimulate blood flow which will help the healing process. As the patient’s arm heals, the treatment protocol will become more aggressive to regain motion and strength. The primary goal is to restore the full function of the involved limb. Due to the shape of the elbow joint, it is very difficult to restore full motion. Formal physical therapy treatment might be extensive and for a prolonged period of time.
One of the most common elbow injuries is a radial head fracture. Patients will regain the full use of the involved elbows by following the proper treatment protocol, but it might take a long time.

























One of the most common elbow injuries is a radial head fracture. Patients will regain the full use of the involved elbows by following the proper treatment protocol, but it might take a long time.
HOW LONG WILL IT TAKE?
Thanks.